폐암 초기증상 8가지 알아두세요
오늘 살펴볼 내용은 폐암 초기 증상에 관한 것인데요, 잘 알아두시면 도움이 될 만한 부분이 많으니 자세히 살펴보시고 꼭 도움이 되셨으면 좋겠습니다.
폐암이란?
폐에 발생한 악성 종양을 말하며, 오랜 기간 흡연해온 남성에게서 발병률이 높습니다. 하지만 최근에는 다양한 환경적 요인과 간접흡연의 영향으로 흡연하지 않는 여성에게서도 많이 발생하고 있답니다. 증상을 느껴 병원을 찾았을 때는 이미 수술하기엔 늦은 경우가 많아 사망률이 매우 높은 암입니다. 폐 자체에서 생기거나 다른 장기에서 발생한 암이 폐로 전이되어 나타나기도 하며, 특별한 초기 증상이 없는 경우가 많습니다. 암이 진행된 후에도 일반적인 감기 증상인 기침과 가래 외에 뚜렷한 증상이 나타나지 않아, 증상만으로는 진단이 쉽지 않습니다.
폐암 역시 다른 암들과 마찬가지로 조기 발견과 치료가 매우 중요하기 때문에, 일상 속에서 폐암 초기 증상을 놓치지 않도록 주의하셔야 합니다. 따라서 오랜 기간 흡연을 했거나 간접흡연에 자주 노출됐던 분들, 평소 폐 기능이 좋지 않거나 호흡기 질환에 자주 걸리는 예민한 체질이라면 폐암 초기 증상에 대해 미리 잘 알아두시고, 이상이 느껴진다면 가능한 한 빠르게 전문의를 찾아 정확한 검진을 받아보시는 것이 좋습니다.






폐암 원인
폐암의 공통적인 위험 요소로 손꼽히는 이유 중 하나가 바로 흡연입니다. 흡연자는 비흡연자에 비해 폐암 발병 확률이 수십 배나 높다고 하며, 흡연을 해온 기간이 길수록 그 위험은 더욱 커집니다. 하지만 흡연자라 하더라도 금연을 하면 폐암 발병 확률이 빠르게 낮아진다고 하니, 폐암이 걱정되신다면 무엇보다 먼저 금연이 필수입니다.
간접흡연 외에도 공사장과 같은 환경에서 미세먼지나 석면, 비소, 라돈, 카드뮴 등 인체에 해로운 물질에 노출될 경우에도 폐암이 발생할 수 있다고 합니다. 또한 유전적인 요인으로도 폐암이 발병할 수 있는데요, 가족 중 폐암을 앓았던 분이 있다면 그렇지 않은 경우에 비해 약 2배 정도 폐암에 걸릴 확률이 높다고 해요. 이처럼 폐암은 본인도 모르는 사이에 발병할 수 있기 때문에, 평소 자신의 신체 상태를 자주 확인하고 이상 징후가 있을 때 조기에 발견하는 것이 무엇보다 현명합니다.
폐암 초기증상
폐암 초기증상 ① 흉통
폐암의 초기 증상 중에는 흉통이 있을 수 있습니다. 위치에 따라 요통으로 이어지기도 하는데요, 흉통은 주로 폐의 가장자리에 폐암이 생겼을 때 나타나는 경우가 많습니다. 특히 암이 흉막과 가까운 부위에 위치할 경우에는 바늘로 콕콕 찌르는 듯한 흉통이 느껴질 수 있으며, 폐암이 갈비뼈나 다른 부위로 전이되었을 때에도 흉통이 발생하고 요통으로 발전할 수 있습니다.






폐암 초기증상 ② 만성피로
폐암의 증상으로 피로가 쉽게 풀리지 않아 만성피로를 느끼게 되기도 합니다. 일반적으로는 간이 좋지 않을 때 피로가 회복되지 않는다고 생각하지만, 폐에 생긴 암세포가 주변 조직으로 전이되면서 다른 장기의 기능을 제한하기 때문일 수도 있습니다. 따라서 단순한 피로로 여겨 영양제만 복용하고 넘어가기보다는, 꼭 병원에 방문해 정확한 진단을 받아보시는 것이 좋습니다.
폐암 초기증상 ③ 호흡 곤란
폐암 환자의 약 4분의 1에서 나타나는 일반적인 증상 중 하나로 호흡곤란이 있습니다. 이는 다발성 폐전이가 폐의 양쪽에서 발견되는 경우에 발생할 수 있으며, 폐암과 함께 악성 흉수가 동반될 때에도 나타날 수 있습니다. 평소와 다르게 숨이 차는 느낌이 들고, 숨을 들이쉬거나 내쉴 때 쌕쌕거리는 소리가 난다면 폐암 초기 증상을 의심해볼 수 있습니다.






폐암 초기증상 ④ 혈담
혈담이란 쉽게 말해 가래에 피가 섞여 나오는 증상을 말합니다. 폐암이 폐의 중앙부, 특히 기관지와 가까운 부위에 위치해 있을 경우 이런 혈담 증상이 나타날 수 있는데요, 실제로 폐암 환자의 25% 이상이 혈담을 경험한다고 합니다. 따라서 기침할 때 심한 가래나 피가 섞인 혈담이 나오는 경우에는 지체하지 마시고 반드시 병원을 방문해 검진을 받아보시기 바랍니다.
폐암 초기증상 ⑤ 목소리 변화
대부분 사람들은 성대가 노화되면서 목소리가 쉬기도 하지만, 폐암 증상으로 나타나는 목소리 변화는 마른 쉰 목소리로, 듣는 사람들이 듣기 힘든 소리가 될 수 있습니다. 성대를 조절하는 부위가 기관지와 폐 사이에 위치해 있어, 이곳에 암세포가 발생하면 목소리가 변하게 됩니다. 따라서 마른 쉰 목소리가 계속된다면 병원에 가서 검진을 받아보는 것이 좋습니다.
폐암 초기증상 ⑥ 상대정맥 증후군
상대정맥증후군은 상대정맥 주위에 폐암이 생겨 상대정맥을 압박할 때 발생하는 증상입니다. 이로 인해 혈액순환 장애가 생기며, 머리와 팔이 심하게 붓고, 호흡곤란, 가슴 정맥 돌출 등의 증상이 나타날 수 있습니다.
폐암 초기증상 ⑦ 기침
기침은 폐암의 가장 일반적인 초기 증상 중 하나입니다. 기침은 감기나 기관지염, 천식 등 다른 호흡기 질환에서도 흔히 나타나는 증상이라 대수롭지 않게 여겨지기 쉽지만, 기침이 지속적으로 발생한다면 폐암 검사를 받아보는 것이 좋습니다.
기침의 원인은 감기에서 폐암까지 매우 다양할 수 있습니다. 3주 이내에 사라지는 급성 기침은 보통 바이러스 감염에 의한 일시적인 증상으로, 큰 걱정이 필요 없지만, 기침이 오래 지속되면 갑상선암, 후두암, 폐암 등이 진행된 상태일 수 있습니다. 따라서 3주 이상 기침이 멈추지 않는다면 정확한 원인을 파악해 치료를 받는 것이 중요합니다.






폐암 초기증상 ⑧ 체중감소
폐암을 의심할 수 있는 초기 증상 중 하나는 입맛이 떨어지고 전신적인 위약감이 나타나는 것입니다. 또한 체중이 갑작스럽게 감소할 수 있습니다. 최근에 식사량을 줄였거나 특별한 식단 관리 없이도 평소 체중의 5% 이상이 감소했다면, 검진을 받아보는 것이 좋습니다.
정상 세포보다 성장 속도가 빠른 암세포는 많은 에너지를 필요로 하기 때문에, 암세포의 성장이 진행됨에 따라 체중 감소가 일어날 수 있습니다. 특별한 이유 없이 6개월 이내에 10kg 이상 체중이 줄거나 체중의 10% 이상이 감소했다면, 폐암 초기 증상일 수 있으므로 반드시 검사를 받는 것이 필요합니다.
폐암 4기 생존율
폐암은 대부분 3기 이상의 말기에서 발견되는 경우가 많아, 예전에는 폐암 진단을 받으면 곧 사망 선고나 다름없다는 말이 있을 정도였어요. 하지만 현재는 의료기술이 크게 발전하면서 폐암의 5년 생존율이 70%를 넘고 있다고 합니다. 이는 무엇보다도 정기적인 건강검진을 통해 폐암을 조기에 발견하는 경우가 많아졌기 때문이라고 볼 수 있습니다.
자세히 살펴보면, 인산화효소 변이가 있는 폐암 환자의 경우 5년 생존이 가능하며, 상피세포 성장인자 수용체 변이가 있는 환자의 경우에는 1년에서 3년 사이의 생존율을 보인다고 해요. 그럼에도 불구하고 여전히 폐암을 3기나 4기에서 확진 받는 사례가 많은 것이 현실입니다.
폐암에 좋은 음식
당근
당근에 포함된 많은 베타카로틴 물질이 점막을 보호하고, 다양한 비타민이 들어 있어 항산화 작용 효과를 제공할 수 있습니다. 또한 당근은 클로로겐산이라는 식물성 화학물질의 공급원이기도 한데요, 이 클로로겐산은 종양이 자라기 위해 필요한 혈액 공급을 차단하는 역할을 하기 때문에 폐암 진행을 억제하는 효과가 있을 수 있습니다.
마늘
마늘은 우리 민족의 역사와 함께 해온 식재료로, 단군신화에도 등장할 정도로 그 역사가 깊은 식품입니다. 마늘의 효능은 우리 신체에 많은 좋은 영향을 미칩니다. 마늘을 섭취하면 폐로 통하는 혈액의 흐름을 개선하고 폐에 좋은 기운을 제공해줍니다. 또한, 마늘은 폐암 억제는 물론이고 성인병 예방과 항암작용에도 뛰어난 효과가 있어 널리 알려진 식재료입니다.






복숭아
복숭아는 몸 안에 있는 니코틴을 분해하고, 훼손된 폐조직을 회복시키는 데 도움을 주어 폐와 폐암에 좋은 음식으로 알려져 있습니다.
해조류
해조류 중에서도 김과 파래는 특히 유익한 식품입니다. 김과 파래에는 메틸메티오닌과 비타민 A가 풍부하게 함유되어 있어 담배의 니코틴 독을 해소해주며, 그로 인해 훼손된 폐의 점막을 보호하고 회복시켜 폐암을 방지하는 데 효과적입니다. 폐암 치료 중인 분들은 김과 파래를 함께 말려서 가루를 내어 밥 위에 뿌려서 자주 먹으면 더욱 효과적으로 섭취할 수 있습니다.
토마토
토마토는 우리 육체의 여러 기관에 좋은 역할을 하며, 폐암에도 효과적인 음식입니다. 토마토의 붉은색을 나타내는 라이코펜 물질은 강력한 항암작용을 하며, 대기오염 등 외부 요인으로부터 폐를 보호하고 폐 기능 향상에 도움을 줍니다.
토마토에는 암 위험을 낮추고 암에 대응하는 중요한 화합물인 리코펜이 풍부하게 들어있는데요, 이 리코펜은 종양의 성장을 억제하고 폐암 세포의 분열을 방해하는 역할을 합니다. 리코펜이 많은 식품을 섭취한 사람들을 대상으로 한 실험에서는 폐암 발병률이 낮았다는 결과가 나왔습니다.
녹차
녹차는 폐 건강에 좋은 차로 잘 알려져 있습니다. 녹차에는 카테킨이라는 폴리페놀 물질이 포함되어 있어, 항산화 작용과 함께 몸 내부의 니코틴 해독작용을 돕습니다. 흡연으로 인해 쌓인 담배의 독성을 몸 밖으로 배출하는 데 도움을 주는 녹차는, 흡연 경험이 있는 사람들에게 특히 추천되는 차입니다. 폐 건강을 고려한다면 커피보다는 녹차를 섭취하는 것이 더 좋습니다.






브로콜리
브로콜리에는 클로로필이라는 녹색 색소 물질이 포함되어 있는데요, 이 물질은 동맥경화를 방지하고 혈전 생성을 막아 혈액순환을 돕는 데 효과적입니다. 또한 항암작용 효과도 발휘합니다. 이러한 작용들이 함께 모여 폐 건강에 긍정적인 영향을 미치게 되는 것입니다.
무
무는 흡연으로 인해 체내에 쌓인 유독 물질을 체외로 배출해주는 효과가 있어, 폐와 폐암에 좋은 음식으로 알려져 있습니다.
율무
율무는 폐 기능을 활성화시키고, 흡연으로 인해 발생하는 가래를 멈추게 해주며, 니코틴 해독 효과가 있어 폐와 폐암에 좋은 음식으로 알려져 있습니다.
생강
생강은 니코틴 해독 효과가 있으며, 기관지에 쌓인 가래를 제거해주는 효과와 함께 폐 세포의 재생을 촉진하는 폐와 폐암에 좋은 음식입니다. 또한 생강에 포함된 쇼가올이라는 물질은 폐암 세포의 확산을 막는 효과가 있다고 알려져 있습니다. 쥐를 대상으로 한 실험에서 이 물질이 폐암 전이 위험을 감소시키는 효과를 나타낸 것으로 보고되었습니다.
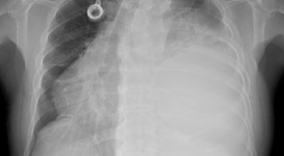
폐암 치료방법
폐암 검사는 주로 X-ray를 통해 이루어지지만, 종양의 크기가 작거나 구석에 위치한 경우에는 확인이 어려운 경우도 있습니다. 그 후, 조직 검사를 통해 정확한 진단을 하게 됩니다. 폐암이 발견되면, 종양의 크기, 전이 여부, 위치에 따라 수술 여부를 결정하게 됩니다.
수술 치료
악성 종양이 있는 폐의 일부를 절제하는 방법으로, 초기 단계에서는 내시경 기구를 활용하여 수술이 가능하기도 합니다.
항암 치료
항암제를 이용한 치료 방법으로, 특히 폐암 4기와 같은 경우에는 항암 화학요법이 유일한 치료 방법일 수 있습니다.
지금까지 폐암 초기증상 8가지에 대해서 자세히 알아보았습니다. 도움이 되셨기를 바랍니다. 읽어주셔서 감사합니다.